‘I implanted a microchip into my body — but now I’ve forgotten the password’

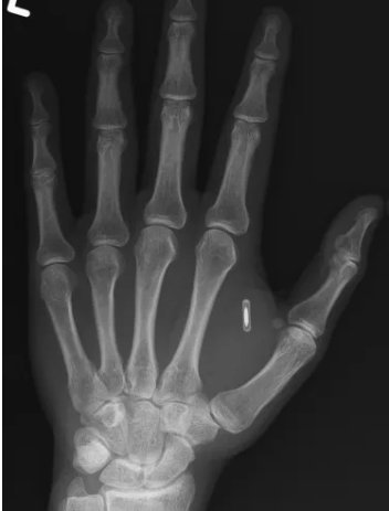
A Missouri magician has learnt a valuable lesson after he implanted a computer chip into his hand to do some fun magic tricks – but then forgot the password. Now, he can’t use it. Zi Teng Wang, who is also a molecular biologist, shared his predicament on Facebook, along with an X-ray of his hand showing the outline of the microchip which is embedded in the meat between his thumb and index finger. (Picture: Zi Teng Wang)
Magician, Zi Teng Wang, ?forgot the password to his own hand?
The RFID chip – known as a Radio Frequency Identification chip – is a tiny electronic device with a microchip and antenna that stores data and communicates wirelessly with a reader using radio waves. They are usually made up of a tiny chip and antenna that is encased in a biocompatible glass, and are wirelessly powered. Zi intended to use the chip as a prop for interactive magic tricks, which would activate routines when a smartphone that had a compatible reader was pressed against Zi’s hand. (Picture: Zi Teng Wang)
Magician, Zi Teng Wang, ?forgot the password to his own hand?
However, Zi found out that this was not a very practical idea as he had to awkwardly guide audience members with their smartphones, and found that many phones have RFID capabilities disabled by default, or struggle to reliably detect the chip through skin. So he had to remove the routine from his act. (Picture: Zi Teng Wang)
Magician, Zi Teng Wang, ?forgot the password to his own hand?
Then Zi repurposed the implant to link to a Bitcoin address, however he said that ‘never came up.’ Then he re-wrote the chip to produce a meme, which allowed people to scan the chip and see it. However, when the link went down and he went to rewrite the chip, he discovered that he forgot the password that he had locked it with. After speaking to his ‘techie’ friends, he found the best solution is to strap an RFID reader to his hand for days or even weeks, brute forcing every possible combination. (Picture: Zi Teng Wang)
Magician, Zi Teng Wang, ?forgot the password to his own hand?
Telling his predicament, he said: ‘I’m living my own cyberpunk dystopia life right now, locked out of technology inside my body, and it’s my own damn fault. I got an RFID chip implanted into my hand ages ago, thinking it’d be fun for magic, but it turns out that pressing someone else’s phone to my hand repeatedly, trying to figure out where their phone’s RFID reader is, really doesn’t come off super mysterious and magical and amazing.’ (Picture: Zi Teng Wang)
Magician, Zi Teng Wang, ?forgot the password to his own hand?
He added: ‘At least the imgur link started working again. But I’m still locked out of my own body’s tech, and that’s inconvenient but hilarious. And I can honestly say that I forgot the password to my own hand.’ But Zi is not the first person to do this. In 2018, Daniel Oberhaus drunkenly got a near-field communications chip (NFC) implanted into his hand. But he forgot his passcode to the chip, making the writer into what he called the ‘world’s most useless cyborg.’ (Picture: Zi Teng Wang)

What is biohacking? 

Magician, Zi Teng Wang, ?forgot the password to his own hand?
Adding technology into your body is a process known as biohacking. The allure is convenience, medical necessity or enhanced abilities. The first human to receive an RFID microchip implant was British scientist Kevin Warwick in 1998, which allowed a computer to monitor him as he moved through halls and offices of the Department of Cybernetics at the University of Reading using a unique identifying signal emitted by the implanted chip. He could operate doors, lights, heaters and other computers without lifting a finger. (Picture: Zi Teng Wang)

Related Posts

Leave a Reply

Your email address will not be published.